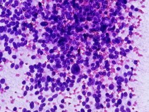
Дифузна В–великоклітинна лімфома
Лімфома – це рак лімфатичної системи. Лімфа утворюється з тканинної (інтерстиціальної) рідини. Тканинна рідина заповнює простір між клітинами у тканинах організму. Вона формується із плазми, яка є складовою … Читати далі Дифузна В–великоклітинна лімфома
Скопіюйте та вставте це посилання до свого WordPress сайту, щоби вставити
Скопіюйте та вставте цей код собі на сайт, щоби вставити